viernes, 12 de agosto de 2022

TEAN para Fibrosis Quística



- Tipo de terapia de TEAN: Ex vivo

- Dirigido hacia: ADN nuclear

- Dirigido por: Plásmidos con casquete ARNg

- Órgano a tratar: Células epiteliales de las vías repiratorias.

- Vía de administración: Intratraqueal

- Resultados: Corrección de la delección homocigota de F508 en el gen CFTR.


Referencia:

Graham C, Hart S. CRISPR/Cas9 gene editing therapies for cystic fibrosis. Expert Opin Biol Ther [Internet]. 2021 [cited 12 August 2022];21(6). Available from: https://pubmed.ncbi.nlm.nih.gov/33412935/

domingo, 7 de agosto de 2022

Terapia con células madre para Diabetes Tipo 1

 


Tipo de Stem Cell:

- Células madre pluripotentes inducidas 

Método de Obtención: (se obtuvo 1 células B y 2  progenitores pancreáticos)

- Reprogramación de células somática 

- Coctel de diferenciación 

Vía de administración:

- Trasplante al páncreas murino

Resultado a corto plazo: 

Los progenitores pancreáticos revirtieron la hiperglucemia en ratones entre 3-14 días después de ser trasplantadas.

Resultado a mediano plazo: 

La células B revirtieron la hiperglucemia en ratones entre 3-4,5 meses después de ser trasplantadas.

Resultado a largo plazo:

Aún son indeterminados pero se tienen algunas hipótesis.

- Las células B pueden llegar a diferenciarse en células polihormonales que si secretan insulina pero no lo hacen en respuesta a glucosa.

- La células del conducto pancrático puede llegar a transdiferenciarse en células B.

- Las células B aisladas pueden llegar a tener una menor producción de insulina que los progenitores pancreáticos.


Referencias:

 Memón B, Abdelalim E. Stem Cell Therapy for Diabetes: Beta Cells versus Pancreatic Progenitors. Cells [Internet]. 2020 [cited 7 August 2022];9(2). Available from: https://pubmed.ncbi.nlm.nih.gov/31979403/

viernes, 29 de julio de 2022

Alimentos Transgénicos

Humanized Mouse Model to Study Type 1 Diabetes (1)


- Tipos de ATs :
    1. ratones  SI ---- Knockout 
    2. ratones HLA-A / HLA-DQ8 ---- Knockout.
- Método de Obtención
    1.Cruce de ratones mINS -/- con HLA-A* transgénico.
    2. Cruce de transgénico H-2D  mB2m con IA IE doble ratones knockout HLA-DQ8.
- Usos
    - Establecer nuevos biomarcadores de diagnóstico.
    - Diseñar terapias específicas de antígeno para prevenir el desarrollo de T1D

Ventajas (2)


1. Los alimentos transgénicos contiene mayor contenido de vitaminas, minerales y aminoácidos pero con menor cantidad de ácidos grasos saturados.
2. Debido a alteraciones genéticas, por ejemplo del gen que codifica pectinesterasa, los alimentos transgénicos se conservan más tiempo.
3. Los cultivos de alimentos transgénicos se caracterizan por tener un mayor rendimiento y por ende mayor producción a un costo menor que el convencional beneficiando así a la economía de los agricultores.
4. Ayudan en el cuidado del suelo, ya que se necesita menos espacio para producir una mayor cantidad. Entonces disminuye la sobreexplotación que puede darse en el suelo por cultivos convencionales.
5. Los cultivos de alimentos transgénicos necesitan una menor aplicación de plaguicidas sobre ellos, por los que reducen la contaminación o intoxicación de estos.

Desventajas (2)

1. Se desconoce el impacto medioambiental futuro que puede causar el cultivo de plantas transgénicas, aunque ya existe evidencia sobre la pérdida de biodiversidad.
2. La inserción errónea de ADN dentro del genoma puede tener efectos graves sobre la producción de proteínas normales.
3. El ADN que se insertará a la planta puede estar sujeto a contaminación o sobreexpresión, que se relaciona con la producción de dosis mayores de sustancias tóxicas que darían origen a nuevas alergias alimentarias.
4. Si en el material genético de la planta existe alguna mutación, pueden verse afectadas las vías metabólicas de esta, por lo que existe la posibilidad de una disminución en la cualidad nutritiva del alimento.
5. Existe riesgo de la transferencia de genes exógenos desde una variedad transgénica a variedades silvestres del mismo entorno.




Referencias:
1. Sandrine L, Guinoiseau S, Gadault A, Letourneur F, Blondeau B, Nitschke P et al. Humanized Mouse Model to Study Type 1 Diabetes. Diabetes [Internet]. 2018 [cited 30 July 2022];67(9). Available from: https://diabetesjournals.org/diabetes/article/67/9/1816/15951/Humanized-Mouse-Model-to-Study-Type-1-Diabetes
2. Serrano L. Alimentos transgénicos. Ventajas e inconvenientes de su producción y consumo. Revista Electrónica de PortalesMedicos :Endocrinología y Nutrición [Internet]. 2022 [cited 29 July 2022];17(4). Available from: https://www.revista-portalesmedicos.com/revista-medica/alimentos-transgenicos-ventajas-e-inconvenientes-de-su-produccion-y-consumo/

sábado, 23 de julio de 2022

ADN recombinante artificial y natural

 ADN recombinante en Diabetes Tipo 1 (Proteínas artificiales recombinantes)


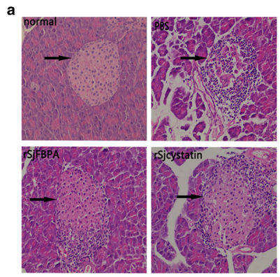
Tema: Amelioration of type 1 diabetes by recombinant fructose-1,6-bisphosphate aldolase and cystatin derived from Schistosoma japonicum in a murine model.
Objetivo: Terapia
Gen: Gen de fructose-1,6-bisphosphate aldolase y Gen de cystatin
Vector: pEt-28arSjcystatin o pET-28a-rSjFBPA
Célula receptora: Células T reguladoras y E. coli DE3
Mecanismo de transferencia o inserción del gen: Transfección y transformación por conjugación bacteriana
Métodos de identificación de clones:
- Cultivo + IPTG
- Productos del gen: Electroforesis con dodecilsulfato de sodio para proteínas, citometría, ELISA, inmunohistoquímica (1).

ADN recombinante en Bacterias (natural)


Parte de los genes destinados a la supervivencia bacteriana se relacionan con los plásmidos. Los plásmidos presentan una clasificación bien definida en la que destacaremos a los relacionados con la virulencia ya que estos contienen genes de resistencia hacia antibióticos y pueden trasmitirse a otras bacterias de la misma colonia por medio de pilis sexuales (2).

Referencias

- 1. Yang K, Zhou H, Luo Q, Shen J, Xu Y, Zhong Z. Amelioration of type 1 diabetes by recombinant fructose-1,6-bisphosphate aldolase and cystatin derived from Schistosoma japonicum in a murine model. Parasitol Res [Internet]. 2019 [cited 23 July 2022];119. Available from: https://link.springer.com/article/10.1007/s00436-019-06511-7
(para leer el artículo s00436-019-06511-7.pdf)
2. Hernández K. Plásmidos Bacterianos. Saber más - Revista de divulgación [Internet]. 2022 [cited 24 July 2022];. Available from: https://www.sabermas.umich.mx/archivo/articulos/283-numero-33/510-plasmidos-bacterianos.html


sábado, 16 de julio de 2022

Western Blot para proteínas involucradas en la regulación mitocondrial de Fibrosis Quística


Mediante Western Blot (WB) se analizó la expresión y activación de la proteína DRP1  en tres tipos celulares (IB3-1, S9 Y C38). Esta proteína se encuentra relacionada con la fisión mitocondrial y es dependiente de la actividad CFTR. Cada una de estas células proponen una activación diferente de DRP1 en condiciones basales, sin embargo en estimulo con AMPc existe disminución de la expresión de DRP1 1. Además, el WB puede utilizarse para medir los niveles de expresión de interleucina proinflamatoria IL-8. 2

Referencias
1. Fadulti C. ANÁLISIS DE LA MORFOLOGÍA MITOCONDRIAL EN FIBROSIS QUÍSITICA [Internet]. BIOMED, CONICET-UCA; 2021 [cited 17 July 2022]. Available from: https://repositorio.uade.edu.ar/xmlui/bitstream/handle/123456789/13727/Proyecto%20Final_Camila%20Falduti_AN%c3%81LISIS%20DE%20LA%20MORFOLOG%c3%8dA%20MITOCONDRIAL%20EN%20FIBROSIS%20QU%c3%8dSITICA.pdf?sequence=2&isAllowed=y

2. Escobar B, Tamajón S, Gallego M, Jiménez R. Estrategia terapéutica basada en análogos de ANXA1 para el tratamiento de la fibrosis quística. SECUAH [Internet]. 2021 [cited 17 July 2022];10(1). Available from: https://secuah.web.uah.es/2021/articles/dianas_2021_10_1_e202103fa04_escobar-doncel_etal.pdf

domingo, 10 de julio de 2022

Extracción de ADN de Mycoplasma Pneumoniae y Chlamydia Pneumoniae en PCR


Objetivo: Evaluar la PCR como herramiento para el diagnóstico de infecciones por M. pneumoniae y C. pneumoniae 
Muestras: Sangre periférica (106 muestras en total)
Extracción de ADN: Wizard Genomic DNA Purification Kit (Promega)
Ácido nucleico: ADN bacteriano
Genes a amplificar (con pb):  (figura A)
    - Genes 16S rRNA de M. pneumoniae = 700 pb
    - ompA para C. peumoniae = 333 pb
    - mip (gen potenciador de infección de macrófagos) = 233 pb
    - gen de ATPasa para M. neumoniae = 143 pb 
Tipo de PCR: Multiplex 
Pasos de la PCR:
    - Desnaturaliación por 1 minuto a 94°C
    - Hibridación por 1 minuto a 58°C
    - Extensión por 1 minuto a 70°C
    - Extensión final 9 minutos 
Electroforesis: gel de agarosa al 2%.

Referencias

1. Campos Y, Thula L, Cuervo M, Serrano C, Quintero Y, Ocando T. REACCIÓN EN CADENA DE LA POLIMERASA (PCR), PARA ELDIAGNÓSTICO DE MYCOPLASMA PNEUMONIAE Y CHLAMYDIA PNEUMONIAE EN SANGRE. CECAVI [Internet]. 2019 [cited 10 July 2022];8(1). Available from: http://revistas.uam.edu.pa/index.php/revistacecavi/article/view/17/6

domingo, 3 de julio de 2022

Alteraciones de la Epigenómica en la vía de señalización NOTCH relacionada con Síndrome de Hajdu-Cheney



La sumoilación, modificación de  histonas por adición de ubiquitina, regula la actividad de componentes nucleares alterando la vía de señalización Notch que presenta alta sensibilidad ante modificaciones en  histonas y  cromatina. Como resultado existe ausencia del dominio PEST, encargado de la regulación de Notch, por a una mutación en el exón34 de NOTCH2 que causa batrocefalia con occipucio prominente,, cardiopatías congénitas, malformacioones respiratorias o digestivas,etc.

1. Taboada N, Herrera M. Mecanismos epigenéticos y vía de señalización Notch en el origen de diferentes defectos congénitos. Medicentro Electrónica [Internet]. 2018 [cited 3 July 2022];22(3). Available from: http://scielo.sld.cu/scielo.php?script=sci_arttext&pid=S1029-30432018000300002

domingo, 26 de junio de 2022

Alteración en el proceso de traducción en el Síndrome de Zellweger

El síndrome de Zellweger, también conocido como síndrome cerebro-hepato-renal, es una alteración congénita producida por mutaciones en los genes PEX que son los encargados de codificar las peroxinas, proteínas necesarias para la síntesis de peroxisomas, en tejidos relacionados con la desintoxicación del cuerpo, especialmente en el hígado y en los riñones. Estos genes pueden ser PEX 1 para la proteina AAA, PEX 2 para IMPP35, PEX 6 para la AAA ATPasa entre otros.

1. Balsalobre L, Peñas V, Camacho P. Manual de casos clínicos en genética humana. Asociación Española de Biopatología Médica [Internet]. 2020 [cited 26 June 2022];:82-92. Available from:https://www.aebm.org/images/activos/publicaciones/2021/Manual-casos-clinicos-genetica-2020_compressed.pdf#page=82

viernes, 17 de junio de 2022

Alteración en el proceso de Transcripción en la Fibrosis Quística

 


La Fibrosis quística se caracteriza por la mutación del gen CFTR en 7q31.2. Se pueden diferenciar tres tipos de mutación.1. “Error de sentido”: se produce un intercambio en los nucleótidos. 2. “Cambio de pauta”: se produce por inserción o deleción de un grupo de nucleótidos que luego generan una proteína truncada. 3. Mutaciones que modifican el splicing: se producirán proteínas inestables por incorporación de una secuencia codificante (1).

1. Casals T. Fibrosis Quística [Internet]. 8th ed. Madrid, España: Neumomadrid; 2019 [cited 18 June 2022]. Available from: https://www.neumomadrid.org/wp-content/uploads/monogviii_3._genetica.pdf

sábado, 11 de junio de 2022

Alteración en el proceso de replicación de la Atrofia Muscular Espinal

En nuestro país durante el año 2020 se registraron 560 defunciones (alrededor del 21,79%) relacionadas a malformaciones congénitas, deformidades y anomalías cromosómicas, ubicándose en el segundo lugar respecto a las causas principales de fallecimiento de infantes menores a un  año de edad (1).Una de las anomalías cromosómicas con una alta tasa de mortalidad corresponde a la atrofia muscular espinal. Al ser una enfermedad autosómica recesiva, los infantes heredan el gen SMN1 con diferentes tipos de mutaciones, como deleciones, conversiones a SMN2, intercambio de nucleótidos e incluso pueden carecer de este gen. (2).

Si el gen SMN1 se presenta, a este le puede falta el exón 7 y al ser material genético heredado por sus progenitores no tiene la posibilidad de repararse a sí mismo, por lo que el ADN continua su proceso de replicación con este segmento defectuoso teniendo como resultado la función incorrecta y degenerativa de las neuronas motoras que tienen como función principal hablar, caminar, respirar y deglutir (2).

- Referencias
1. Instituto Nacional de Estadística y Censos. Estadísticas Vitales - Registro Estadístico de Defunciones Generales de 2020. Quito - Ecuador; 2020 p. 17,29. Available from: https://www.ecuadorencifras.gob.ec/documentos/web-inec/Poblacion_y_Demografia/Defunciones_Generales_2020/2021-06-10_Principales_resultados_EDG_2020_final.pdf
2.  Simard L. LA GENÉTICA DE LA ATROFIA MUSCULAR ESPINAL (AME) [Internet]. Winnipeg, Canadá: Families of SMA; 2019 [cited 11 June 2022]. Available from: https://www.fundame.net/documentacion/genetica.pdf




martes, 31 de mayo de 2022

10 Principales causas de mortalidad en infantes antes de la pandemia.


La mortalidad a simples rasgos, se define como "la cantidad de defunciones en una población sobre un período determinado de tiempo", partiendo de esta proposición nos centraremos en niños ecuatorianos de 0 - 1 año de edad y las causas de sus decesos. 

1. Diccionario de cáncer del NCI [Internet]. Instituto Nacional del Cáncer. 2022 [cited 1 June 2022]. Available from: 
https://www.cancer.gov/espanol/publicaciones/diccionarios/diccionario-cancer/def/mortalidad
2. Diccionario de cáncer del NCI [Internet]. Instituto Nacional del Cáncer. 2022 [cited 1 June 2022]. Available from: https://www.cancer.gov/espanol/publicaciones/diccionarios/diccionario-cancer/def/morbilidad
3. Instituto Nacional de Estadística y Censos. Estadísticas Vitales - Registro Estadístico de Nacidos Vivos y Defunciones Generales de 2018. Quito - Ecuador; 2019 p. 48. Available from: https://www.ecuadorencifras.gob.ec/documentos/web-inec/Poblacion_y_Demografia/Nacimientos_Defunciones/2018/Principales_resultados_nac_y_def_2018.pdf
4. Instituto Nacional de Estadística y Censos. Estadísticas Vitales - Registro Estadístico de Defunciones Generales de 2020. Quito - Ecuador; 2020 p. 17,29. Available from: https://www.ecuadorencifras.gob.ec/documentos/web-inec/Poblacion_y_Demografia/Defunciones_Generales_2020/2021-06-10_Principales_resultados_EDG_2020_final.pdf

sábado, 28 de mayo de 2022

Bienvenidos a mi Blog


Este se convertirá en un espacio de aprendizaje y distracción con temas relacionados a Biología Molecular y Celular, cátedra que recibo al ser estudiante de la Facultad de Ciencias Médicas, que serán actualizados semana tras semana a lo largo del semestre.
Además, podrán encontrar herramientas didácticas, buscadores científicos, noticieros entre otros que lograrán contribuir de manera positiva al desarrollo intelectual y académico de cada uno de nosotros. Espero lo disfruten y aprendan tanto como yo :). 


TEAN para Fibrosis Quística

- Tipo de terapia de TEAN: Ex vivo - Dirigido hacia: ADN nuclear - Dirigido por: Plásmidos con casquete ARNg - Órgano a tratar: Células ...